Tabla de contenidos
Pautas tras el tratamiento de mantenimiento periodontal
Pautas tras mantenimiento periodontal: qué es normal los primeros días, higiene en casa, alimentación, control de la sensibilidad y cuándo consultar.
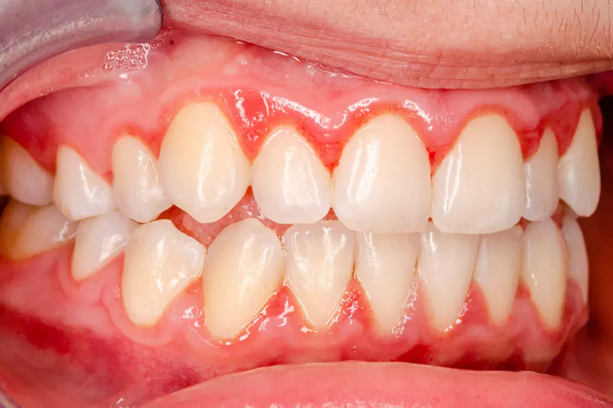
Qué es normal después de la sesión
- Encías sensibles o levemente inflamadas 24–48 horas.
- Pequeño sangrado al cepillado el primer día.
- Sensibilidad al frío en zonas con recesión o tras eliminar cálculo; suele mejorar en pocos días.
- Sensación de dientes más limpios y superficies lisas tras la profilaxis.
Higiene y pautas tras mantenimiento periodontal
- Cepilla 2–3 veces/día con cepillo suave; movimientos cortos en el margen encía–diente.
- Usa pasta fluorada; si hay sensibilidad, alterna con pasta desensibilizante 2–4 semanas.
- Limpieza interproximal diaria (hilo, superfloss o cepillos interproximales según el espacio).
- Refuerza técnica de higiene con esta guía: 8 claves para el cepillado y estos vídeos de higiene oral.
- Si te pautaron colutorio, respeta dosis y duración indicadas por la clínica.
Recomendación extra: si el área está muy sensible, cepilla con agua tibia las primeras 24 horas y aplica pasta desensibilizante directamente 1–2 minutos sobre las zonas más molestes.
Alimentación y manejo de la sensibilidad
Cuidados tras control periodontal
- Primeras 24 horas: evita muy frío, muy caliente y ácidos (cítricos, refrescos).
- Elige texturas blandas si hay molestias y mastica con calma.
- Hidrátate bien; una boca seca puede aumentar la sensibilidad.
- Analgesia solo si fue pautada por la clínica.
Recomendación extra: si rechinas de noche, considera una férula de descarga; reduce sensibilidad y sobrecarga gingival.
En qué se diferencia del curetaje
- El mantenimiento periodontal es una profilaxis avanzada y control de biofilm; suele ser menos invasivo que el curetaje.
- Ayuda a prevenir recaídas, mantener bolsas controladas y estabilizar encías.
- En caso de inflamación persistente o bolsas profundas, se valora curetaje u otras terapias.
Señales de alerta
- Sangrado abundante que no cede o empeora tras 48 horas.
- Dolor creciente, inflamación marcada o supuración.
- Movilidad dental nueva o sensación de diente “alto” al morder.
- Si ocurre, contáctanos para valoración y ajuste.
Próxima revisión y frecuencia
- Control a las 2–4 semanas si hubo sensibilidad notable o bolsillos reactivos.
- Programa tu mantenimiento cada 3–6 meses según tu riesgo periodontal.
Preguntas frecuentes
¿Es normal que sangren las encías al cepillarme?
¿Cuándo podré comer normal?
¿Cada cuánto debo hacer mantenimiento?
Ver también
Más información general sobre salud de encías:
MedlinePlus — Enfermedad de las encías.

